Abdominal boşluğun volümünün büyük kısmını barsaklar işgal ediyor. Obstrüksiyon ve iskemisinin yanısıra kitle ve perforasyonları ile acil servisi ve cerrahları meşgul eden renkli bir klinik yelpazeye sahipler. Kitlelerin primer tanısı acil serviste sık yapılmadığından, kitleler dışında kalan travmatik olmayan patolojilerine bir göz atalım.
İnflamatuar Barsak Hastalıkları
Barsakların inflamatuar süreçleri striktürlere ve ileusa ilerleyebilen bir yelpazede gözlenir. İnflamasyon deyince de en tipik iki hastalık akla gelir. Crohn ve ülseratif kolik tıp fakültelerinde yıllardır farklarını ezberlediğimiz iki hastalık olsa da günümüzde bu klinik durumların bulgularının iç içe geçebildiğini biliyoruz. Klinik önemli yere sahip olsa da kısaca BT bulgularından bahsedelim.
Crohn ve Ülseratif Kolit
Crohn hastalığının barsak tutulumunda bildiğimiz gibi atlayan derin ülserler görülmekte. Crohn hastalığı yaklaşık %70-80 hastada ince barsakta, %50 hastada hem ince hem kalın barsakta, %20’den az hastada ize sadece kalın barsakta görülüyor. Bu nedenle gördüğümüz lezyonların birden çok sayıda olması ve tüm barsak traktına yayılmış olması ihtimali yüksek.
Şekildeki tomografi kesiti ishal ve kramp tarzında ağrısı olan 33 yaşında erkek hastaya ait. İleumda kırmızı okla işaretli bölgede segmenter bir barsak kalınlaşması görülüyor. Duvar inflame olduğu için kontrast tutmuş ve mavi okla gösterilen normal barsak duvarına oranla kalınlaşmış. Mavi çemberin içerisindeki mezenterin etraf mezenterden farklı göründüğü hemen göze çarpıyor. Barsak venleri inflamasyonun sonucu olan fat stranding ve proliferasyon nedeniyle kalınlaşmış görünümde. Tarağın dişlerine benzetildiği için bu görünüme “Tarak bulgusu” adı verilmiş. Tutulan barsak segmenti çevresindeki mezenter kirli görünüyor.
Ülseratif kolitte mukoza ve submukoza tutulumu ön planda olduğundan kontrastlı batın BT ile bu bulgular atlanabilir. Lezyonlar devamlılık arz eder. Ancak özellikle hastalığın alevlenme aşamasında inflamasyon bulguları görülebilir. Striktür gelişmesi halinde görülen “kurşun boru” bulgusu tipiktir.
Kesitte mavi çember içindeki tüm alan hastalıktan etkilenmiş. Sarı oklarla işaretlenen barsak ansında kesintiye uğramadan tutulan barsak duvarını ve inflamasyonu görüyoruz. Barsak duvarı kalınlaşmış, kontrast tutmuş, etraf mezenterde inflamasyon bulguları ve bir miktar serbest sıvı mevcut. Üst kısımda kalan barsak venlerinde de belirginleşme görülüyor.
Bu ülseratif kolit hastasında da kırmızı oklarla işaretlenen barsak bölümü duvarındaki bariz kalınlaşma, düzleşme, haustralarda kayıp ile içi boş silindirik bir boru halini almış. Sarı çizgi duvarın ne kadar kalınlaştığını gösteriyor. Bu görünüme “kurşun boru” bulgusu adı veirlmiş.
[box type=”shadow”]
Yani inflamatuar hastalıklarıda;
- Barsak duvarında kalınlaşma ve etraf mezenter dokuda fat stranding (kirli görünüm)
- Striktür, fistül ve abseler
- Hastalığın tipine göre diffüz veya atlayarak tutulum
- Tarak bulgusu
- Kurşun boru bulgusu
görülebilir.
[/box]
Apandisit
Terminal ileumdaki appendiks vermiformisin inflamasyonu olan apandisit, aslında barsaklardaki inflamatuar süreçlerden biridir ve inflamatuar barsak hastalıklarına benzer bulgularla ortaya çıkar. BT halen en iyi tanı koyduran görüntüleme yöntemidir. Kontrast kullanımı her merkezin protokollerine göre farklı olabilir. Tüm bulguları en iyi gösteren yöntem genelde oral ve IV kontrastlı BT’dir. İnflamasyonun bulguları yanında kendine has bulguları da mevcuttur.
[box type=”shadow”]
Apandisitin BT bulguları:
- Dilate apendiks ve lümende distansiyon (çap >6 mm)
- Barsak duvarındaki inflamasyona sekonder bulgular;
- apendiks çevresinde fat strandingve kirli görünüm
- mezoapendkste kalınlaşma
- ekstraluminal sıvı
- flegmon ve abse gelişmesi
- Çekum apeksinde kalınlaşma (%80’e kadar görülür): çekal bar bulgusu ve ok başı bulgusu
- apendikolit
[/box]
Bu 21 yaşındaki erkek hastanın BT kesitlerinde kırmızı okla işaretli beyaz apendikolitler görülüyor. Aksiyel kesitte mavi okla işaretli apendiksin çapı artmış. Koronal kesitte sarı çemberin içerisinde uzunluğu artmış ve U şeklini almış olarak görülüyor. Başında ve sonunda kırmızı okla işaretli apendikolitler görülüyor. Etrafta fat strandng bulgusu inflamasyonu işaret ediyor.
Apandisit şüphesi ile çekilen BT yorumlanırken apendiksin farklı yerleşimleri olabileceği unutulmamalı. Çekum bölgesi iyice taranmalı.
Barsak obstrüksiyonu:
Etyolojisi çok çeşitli sebeplere bağlı olabilmekle birlikte barsaklarda obstrüksiyon tablosu sebeplerinden bağımsız olarak ortak özelliklerle karşımıza çıkıyor. Mekanik barsak obstrüksiyonu %80 ince barsak, %20 kalın barsak kökenlidir. İnce barsak çapının daha küçük olması, mezenterinin daha mobil olması gibi sebepler tıkanıklığa zemin hazırlar. Obstrüksiyonun sebebi volvulus, meckel divertikülü gibi konjenital sebepler olabildiği gibi adhezyonlar, herniler, kitleler gibi edinsel etyolojilere bağlı da olabilir. Her patoloji kendine has özellikler arz etse de obstrüksiyonun sonucu olan bulguların acil serviste tanınmasına değinmek istiyorum.
İnce barsak obstrüksiyonlarında BT oldukça üstün olup yaklaşık %80 vakada ek tetkik gerektirmeden tanıyı koydurabiliyor.
[box type=”shadow”]
Tipik bulgular:
- İki dış duvar arasında >2.5 cm olan dilate ince barsak ansları
- Bu ansların distalinde normal veya kollabe ansların varlığı
- İnce barsakta feçes bulgusu
[/box]
Bu BT görüntüsünde mavi ile işaretli bölümde ince barsak lümeni içerisinde tıpkı kalın barsakta görebileceğimiz kıvamda gaz ve gaita imajı görülebiliyor. Bu bulgu barsak geçiş zamanının azaldığına işaret ediyor. Tek başına çok anlamlı olmasa da klinik ile birleşince oldukça faydalı. Bu bulgu genellikle sub akut veya düşük gradeli tıkanıklarda görülüyor çünkü gaytanın oluşabilmesi, suyun emilip bakterilerin çoğalabilmesi için biraz zaman geçmesi gerekiyor. Bu sebeple bulgunun erken tanınması klinik iyice oturmadan erken medikal tedavi ile acil operasyon ihtiyacının önüne geçebilir.
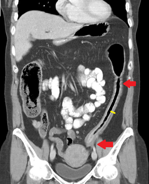
Kalın barsak obstrüksiyonlarında barsak distansiyonu tipiktir. Lümen genişlemiş ve duvar incelmiş görülür. İleoçekal valv bütünlüğünü koruyorsa ince barsak tamamen normal görülür. Kalın barsak daha kısa olduğundan obstrüksiyonun sebebi tüm barsak taranarak görülebilir. Oral veya rektal kontrast verilmesi lümen içi yer kaplayan lezonların tanınmasına yardımcıdır. Strangülasyon ve inkarserasyon gibi komplikasyonlara dikkat edilmelidir.
79 yaşında bir kadın hastaya ait BT görüntüsünde sarı ok ile verilen oral kontrastın kalın barsak distaline geçmediği görülüyor. Kırmızı okla işaretli kısım karın ön duvarında herniye olmuş barsak anslarında oluşan tıkanıklığı gösteriyor. Geçişin engellenmesinin sebebi bu herni. Distalde barsak ansının ne kadar kalın olduğu görülüyor. Ancak duvar kalınlığı artmamıış ve etraf mezenterde inflame görünüm yok. Bu tablonun henüz cerrahi batına ilerlemediğini gösteriyor. Barsak duvarlarının kontrast tutuyor olması da iskemi ihtimalini azaltan bir bulgu. Koinsidental olarak mavi okla işeretli bölümde safra kesesi duvarı kalınlaşmış ve kontrast tutuyor. Kolesistit açısından tüm kesitlerin incelenmesi gerekir.
İskemi
Mezenter iskemisinin damar bulgularına önümüzdeki yazılarda değineceğiz. Bu yazıda barsak duvarlarında iskemi sonucu olan bulgulardan bahsedeceğiz. İskeminin etyolojisine göre eşlik den bulgular çok değişken olmakla birlikte klinik ilerledikçe ortaya çıkan BT bulguları benzer olacaktır. Barsak bakterilerinin etkisi anaerob ortamda yoğun gaz oluşumu ve gazın barsak boşluğunun dışında tespit edilmesi ile bulgular oluşur.
[box type=”shadow”]
İskemide görülen bulgular;
- Pnömotozis intestinalis: barsak duvarında gaz görülmesi
- Pnömotozis portalis: portal sistemde serbest hava tespit edilmesi (pnömobili ile karıştırılmamalı)
- Pnömoperitonium: barsak perforasyonunun bulgusudur
- Batın içi serbest sıvı
- Bazı vakalarda submukozal hemoraji
- Barsak duvar kalınlığı etyolojiye göre değişken olabilir (tam tıkanıklıklarda azalabilir)
[/box]
Serviste yatan ve belirsiz karın ağrısı olan 85 yaşındaki kadın hastanın bu BT’sinde SMV oklüzyonuna bağlı oluşan mezenter iskemi ve buna bağlı perforasyon bulguları görülüyor. Kırmızı çember içindeki bölümün ne kadar düzensiz olduğu görülmekte. Bu görüntünün sorumlusu mesenterdeki inflamasyon süreci. Tam ortada damarsal yapının içerisinde serbest gaz görülüyor. Sarı ok batın içi serbest sıvıyı, yeşil ok ise barsak duvarındaki gazı gösteriyor. Kırmızı çemberin üst bölümünde kalan barsak anslarının kontrast tutmamış olması iskemiyi destekleyen tipik başka bir bulgu.
Aynı hastaya ait bu kesitte de iskemiye sekonder olan barsak perforasyonuna ait bulgular görülüyor. Kırmızı çizgi batın içindeki yaygın serbest sıvıyı gösteriyor. Sarı oklar batın içindeki serbest havayı işaret ederken mavi çember içerisinde kalan bölüm portal venöz sistem içerisindeki havanın yarattığı tipik görünümü gösteriyor. Bulgular mortal seyreden perforasyon ile uyumlu. Hasta tomografi çekildikten 10 saat sonra kaybedilmiş.
Yeşil okla işaretli kısımda barsak duvarı içerisinde gaz görüntüsü anlamına gelen pnömotozis intestinalis görülmekte.
Divertiküller ve Divertikülit
Divertiküller kolona komşu seyreden vasa rektaların barsağa giriş yerlerindeki potansiyel güçsüz bölgelerden açığa çıkan aksesuar anslardır. İlerleyen yaşla sıklıkları artar ve genelde asemptomatik seyreder. Ancak tıpkı apandisit gibi inflame olmaları durumunda benzer klinikle ortaya çıkarlar.
Son günlerde giderek artan sol alt kadran ağrısı ile başvuran 75 yaşında erkek hastaya ait bu BT’de kırmızı oklarla işaretli divertiküller görülüyor. Sarı çember ise soldaki kesitten birkaç kesit aşağıda mesane komşuluğunda oldukça büyümüş olan prostatı gösteriyor. Rektal kontrastla yapılan bu incelemede mavi ok rektumu ve içindeki kontrast maddeyi gösteriyor. Mesane içinde gaz olmayısı fistül oluşmadığı anlamına geliyor. Alttaki görselde, mavi çember içerisinde, mesanenin üstü ile komşuluk gösteren abse görüntüsü görülüyor. Üstteki kesitlerden birkaç kesit yukarıda bulunan bu alan divertikülitin komplikasyonu olarak karşımıza çıkmakta. Dikkatsiz veya hızlıca bakılması halinde rahatlıkla barsak ansı ile karıştırılabilecek bir vaka. Bu anlamda ön tanımız ile ilgili olarka tomografinin dikkatle incelenmesi gerektiğinin bir göstergesi.
Kaynaklar
- Brant WE, Helms CA. Fundamentals of Diagnostic Radiology. Lippincott Williams & Wilkins. (2007) ISBN:0781761352.
- M. Hofer. “CT Teaching Manual”. Thieme Publishing Group 2. Baskı. s:103-116
- Lee SS, Kim AY, Yang SK et-al. Crohn disease of the small bowel: comparison of CT enterography, MR enterography, and small-bowel follow-through as diagnostic techniques. Radiology. 2009;251 (3): 751-61.
- Madureira AJ. The comb sign. Radiology. 2004;230 (3): 783-4
- http://radiopaedia.org/cases/ischaemic-bowel-4
- http://radiopaedia.org/cases/pneumatosis-intestinalis-4
- http://radiopaedia.org/cases/diverticulitis-with-abscess
