Bir önceki yazımızda tomografi ile ilgili genel bilgiler ve sistemik tomografi yorumlama yöntemi ile genel anatomiye değinmiştik. Bu yazı ve sonraki yazılarda ise her sistem için travmatik ve travma dışı patolojilerden sırayla bahsedeceğiz. Bu yazının konusu karaciğer.
Karaciğer kapsüllü, loblu düzgün bir yapı olarak batın sağ üst kadranında karşımıza çıkıyor. Ligamentum falciforme karaciğerin güçlü bir bağı olarak önemli bir landmark. Safra kesesi ve orta hepatik ven karaciğeri sağ ve sol iki lob olarak ayırıyor. Genel anatomiyi bildiğimizi varsayarak önce travma dışı patolojileri bir göz atalım.
Karaciğer değerlendirilirken batın içi serbest sıvının da rahatlıkla değerlendirilebileceği unutulmamalı. Subfrenik ve subhepatik alanda batın içi sıvılar sık görülüyor. Karaciğer etrafındaki serbest sıvı şekilde görülmekte.
İlk şekilde beyaz oklar karaciğer ve diyafram arasında kalan alanda toplanan serbest sıvıyı gösteriyor. Bu bölgedeki sıvının batın içi kökenli olabileceği gibi toraks boşluğundan da kaynaklanabileceği unutulmamalı. Beyaz “*” işareti ile görülen alan aslında sağdaki plevral sıvı kolleksiyonunun devamı. Beyaz okların dışında diyafram sınırı görülüyor. Bu sınır takip edilirse karaciğer sınırı ile birleştiği ve beyaz asterisk ile işaretli sıvı görüntüsünün diyaframın dışında kaldığı gözlenebilir.
Bu şekilde ise karaciğerin altında toplanan sıvının görünümü izlenebilir. Sağda hepatorenal bölgede (morrison poşu) ve küçük periton boşluğunda toplanan sıvı BT’de rahatlıkla ayırt ediliyor. Sıvının türünü ayırt etmek için HU ölçümü yapılabilir. Kontrast kaçışı görülüyorsa devam eden vasküler patoloji olduğunu unutmamak gerekli.
Segmentler
Karaciğer anatomik ve radyolojik incelemeyi kolaylaştırmak için hepatik damarlanmaya göre segmentlere bölünmüştür. Acil tıp pratiğinde bu segmentlerin tanı ve tedavimize belirgin bir katkısı olmamakla birlikte segmentler lezyonarın lokalizasyonunu tanımlamak için faydalı olabilir.
İlk dört segment sol lobu, son dört ise sağ lobu oluşturuyor. Yaygın inanç lig. falciformenin iki lobu ayıran sınır olduğu yönündeyse de aslında loblar safra kesesi ve hepatik venden geçen sanal çizgi ile birbirinden ayrılmakta.
| Sol Lob | I – Caudat lob |
| II – Lateral segment, kraniyal kısım | |
| III – Lateral segment, kaudal kısım | |
| IV – Kuadrat lon (a: kraniyal, b: kaudal) | |
| Sağ Lob | V – Anterior segment, kaudal kısım |
| VI – Posterior segment, kaudal kısım | |
| VII – Posterior segment, kraniyal kısım | |
| VIII – Anterior segment, kraniyal kısım |
Solid ve kistik karaciğer kitleleri
Benign veya malign karaciğer kitleleri normal parankimin homojen olması ve kapsüllü yapısı sayesinde kontrastlı olmayan tomografilerde bile kolaylıkla ayırt edilebilir. Tabi ki kontrastlı görüntüleme altın standarttır. Aynı zamanda karaciğerde kitle yapan amipler ve apseler de kendilerine has görünümleri ile anlaşılabilir.
Hemanjiyomlar en sık görülen benign karaciğer kitleleridir. Çoğu düzgün sınırlıdır. Görüntüleme özellikleri içerdikleri vasküler yapının miktarına göre değişebilir. Kontrastsız görüntülemede hipodens görülürken, arteriyel veya venöz fazda periferik kontrast tutulumu tipiktir.
Şekilde soldaki kontrastsız kesitte karaciğerde kırmızı okla işaretli 2 adet düzgün sınırlı hipodens lezyon görülüyor. Portal kontrast fazındaki sağdaki kesitte lezyonların çevresinin parladığı sarı oklarla gösterilmiş. Bu görünümün hemanjiyomlar için tipik olduğu ile birlikte vasküler karaciğer metastazlarının da benzer görünüm verebildiği akılda tutulmalı.
Adenomlar karaciğerde sık görülen başka bir benign kitle. Çok sıklıkla semptom vermezler ve bir başka sebepten ötürü çekilen tomografilerde insidental olarak yakalanırlar.
Şekildeki homojen karaciğer parankiminden belirgin olarak farklı dansitede sınırları nispeten düzenli alan bir adenom. Genellikle solid ve tanı anında 5-15cm büyüklükte olurlar. En sık sağ lobun subkapsüller bölgesinde görülüp düzgün sınırlı olma eğilimindedirler. Etraflarında çevre dokudan ayırt edilebilen yalancı kapsül yapısı olabilir. İçinde kanama veya kalsifikasyon alanları görülebilir. Kanama varlığında kontrast tutup hiperintens görülebilirken lipid doku ağırlıkta ise hipodens alanlar halinde görülürler.
Hepatosellüler karsinom (HCC) ise en sık görülen primer malin tümördür. Fokal, multifokal veya diffüz olarak görülebilir. Alt tipine göre BT özellikleri de değişmektedir. Genellikle alt tip ayrımı kontrast tutulum şekline göre yapılır. Acil tıp uygulamalarında bu ayrım klinik pratiğimizi değiştirmediğinden bu konuya değinmeyeceğiz.
Şekilde en solda kırmızı oklarla işaretli diffüz hcc görülüyor. Karaciğer parankiminde ayrılması kontrastsız görüntülemelerde daha zor olsa da olarak sol karaciğer lobundaki düzensiz sınırlı, sirotik görünüm kontrastlı görüntülemede arterial fazda fark ediliyor.
Ortada ise multifokal HCC’ye ait görünüm mevcut. Sarı oklarla işaretli kontrast tutan yapıların yanında turuncu okta portal sistemde muhtemelen tümöre sekonder trombüs görülüyor.
En sağda ise mavi oklarla işaretli, sol lob kökenli HBV’ye bağlı fokal tip HCC görülmekte. Bu yapılar bazen dev boyutlara ulaşabiliyor ve yer yer hipodens alanlar veya kanama alanları da içerebiliyor.
Şekilde karaciğer amip apsesine has düzgün sınırlı yuvarlak yapı görülüyor. Genelde abse içi sıvı 10–20 HU ölçülür. Absenin duvarı ve etrafındaki ödeme bağlı dış sınır (kırmızı ok) görülüyor. Bu ödem kalınlığı 3 -15 mm olabilir. Abseler yaklaşık 2 – 6 cm büyüklüğünde olur. Absenin etrafı vakaların %60’ında yumuşak geçiş gösterir, %40’ında ise nodüler olabilir. Abse içinde septalı görünüm vakaların yaklaşık %30’unda olabilir.
Bu şekilde de venöz fazda belirgin septalar içeren oldukça büyük bir kist hidatik görülüyor.
Diffüz karaciğer lezyonları
Karaciğer parankiminde fibroz ve sirotik görünüm ile yağlanma görünümü de sistemik hastalıkların bazılarında tipik olarak görülebilir. Parankimin HU ölçümü tanıda yardımcı olabilir. Normal parankim yaklaşık 65 HU ölçülürken, yağlı değişiklikte daha azdır. Hemakromatoz gibi durumlarda ise biriken maddenin cinsine göre 90 – 140 HU’ne kadar çıkabilir.
Şekilde kırmızı ok, düzgün bir yüzey olma özelliğini kaybetmiş olan şekilsiz karaciğer sınırını gösteriyor. Karaciğer parankiminde nodüler görünüm mevcut. Bu nodüller artan bağ doku nedeniyle olan fibrotik nodüller ve devam eden yenilenme sürecindeki rejeneratif nodüllerden oluşuyor. Karaciğerin alt sınırında ince bir çizgi olarak diyafram ve onun altında turuncu ok ile işaretli plevral serbest sıvı görülüyor. Bu vakada sıvı siroza sekonder olarak gelişmiş.
[box type=”shadow” ]
Sirotik karaciğerin BT’deki basit özellikleri:
- Kapsüle ait düzgün sınırların bozulması
- Parankimde septalı, nodüler heterojen görünüm oluşması
- Yağlı değişim
- Segmentlerde hipertrofi/atrofi
- Etrafta serbest sıvı varlığı
- Portal hipertansiyon bulguları
olarak sayılabilir.
[/box]
Karaciğere olan metastazlar birçok organın primer malinitesinden kaynaklanabilir ve bu dokulara göre farklı özellikler gösterebililer.
Şekilde solda prostat kanseri olan 55 yaşında bir erkek hastada hipodens olarak izlenen birçok düzgün sınırlı metastazik lezyon görülüyor. Sağda ise over kanseri olan 65 yaşında bir kadın hastada karaciğer parankimini daha yaygın tutmuş metastazik hipodens alanlar görülmekte.
Travmatik patolojiler
Karaciğer künt ve penetran batın travmalarında sık yaralanan organlardan. Kontrastlı BT görüntülemesi travmatik lezyonlar için altın standarttır.
Laserasyonlar düzensiz lineer veya dallanan kontrast tutmayan alanlar olarak görülür.
Hematomlar karaciğer ve kapsülü arasında hipodens alanlar olarak görülürken, akut hematomlar 40-60 HU dams,tede ölçülebilen hiperdens alanlar olarak da karşımıza çıkabilir.
Karaciğer hasarlanmaları Amerikan Travma Cerrahisi Topluluğu AAST (American Association for the Surgery of Trauma) tarafından grade I en hafif, grade VI en ağır olacak şekilde görüntüleme özelliklerine göre sınıflanmış. Her ne kadar acil tıpta hastanın kliniği ön planda olsa da, ağır grade’de hasarlanmaları hızlı tanıyabilmek acil operayon ve transfüzyon kararı açısından faydalı olacaktır.
Grade I
Subkapsüller yerleşimli, yüzey alanının %10’undan az olan hematomlar ve <1 cm derinlikteki laserasyonlar bu sınıftadır.
Şekilde solda araç içi trafik kazası geçiren bir hastada kırmızı okla işaretli subkapsüller hematom alanı hiposend olarak görülüyor. Sağda ise motorsiklet kazarı geçiren bir hastada parankim içinde laserasyon alanı sarı okla işaretli olarak görülüyor. Bu vakalarda tedavi yaklaşımı genellikle konservatif olarak planlanıyor.
Grade II
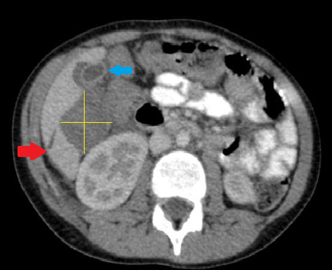
Subkapsüller yerleşimli, yüzey alanının %10-50’s arasında olan veya parankim içinde <10 cm çapındaki hematomlar ve kapsülün yırtıldığı, 1-3 cm derinlikte, < 10 cm uzunluktaki laserasyonlar bu sınıftadır.
Bu kesitte 12 yaşında appendektomi yapılan bir hastada 1 gün sonra gelişen sağ üst kadran ağrısı nedeniyle çekilen tomografi görüntüsünü görüyoruz. Kırmızı okla işaretli bölge karaciğerde laserasyon alanını, sarı çizgilerle işaretli bölgede kapsülün yırtılması nedeniyle oluşan hematom imajını gösteriyor. Safra kesesi mavi okla işaretli. Safra kesesinin etrafında da hematom devam ediyor. Operasyon sırasında karaciğer laserasyonuna bağlı gelişen hematom konservatif olarak tedavi edilmiş.
Grade III
Subkapsüller yerleşimli, yüzey alanının >50’sinden büyük olan, veya aktif kanama görülen veya parankim içinde >10 cm çapındaki hematomlar ve kapsülün yırtıldığı, >3 cm derinlikteki laserasyonlar bu sınıftadır.
Soldaki tomografi kesitinde 2. kattan düşen ve şiddetli sağ üst kadran ağrısı olan hastanın karaciğerini görüyoruz. Sarı oklarla işaretli bölümlerde subkapsüller ve parankimal hematom alanları, kırmızı okla işaretli bölümde ise dallanan bir laserasyon alanı görülüyor. Sağdaki kesitte ise künt batın travması sonrasında mavi okla işaretli biri derinde diğer daha yüzeyel 2 adet laserasyon alanı görülüyor. Pembe ok kapsülün yırtıldığı ve karaciğerin çevresinde minimal sıvama tarzında kanamanın kaçtığı yeri gösteriyor.
Grade IV
Rüptüre olmuş aktif intraparankimal kanamanın eşlik ettiği hematomlar ve bir lob parankiminin %25-75’inin etkilendiği ya da aynı lobda 1-3 segmentin etkilendiği laserasyonlar bu sınıftadır.
Soldaki BT kesitinde 30 yaşlarında iş kazası geçirmiş bir erkek hastanın karaciğeri görülüyor. Sarı okla işaretli bölge ve sarı çizgi oldukça genişlemiş intraparankimal hematomu gösteriyor. Hematomun içindeki mavi ok devam eden kanamayı işaret eden kontrast kaçışını göstermekte. Kırmızı ok ve kırmızı çizgi de karaciğer etrafında toplanan sıvı imajını işaret ediyor. Alt taraftaki küçük yeşil ok eşlik eden küçük subkapsüller hematomu gösteriyor.
Başka bir travma hastasına ait sağdaki kesitte ise üstte birçok lobu etkilemiş neredeyse tam kat lesarasyon ve altındaki daha küçük laserasyon mor ok ile işaretlenmiş. Sarı çember içindeki alan eşlik eden muhtemel toraks travmasına bağlı akciğer kontüzyon alanını ve içerisindeki bronkogramları gösteriyor.
Grade V
Bir lob parankiminin >%75’inin etkilendiği veya aynı lobda >3 segmentin etkilendiği laserasyonlar ile karaciğer çevresindeki venlerin (inferior vena cava, hepatik ven vs) yaralanmaları bu sınfıtadır.
Künt travma nedeniyle çekilen batın BT’de soldaki kesitte kırmızı okla neredeyse tam kat kesiye neden olan hematom velaserasyon alanı görülüyor. Sarı ok dallanan, parçalı laserasyonun bir kısmını göstermekte. Kırmızı çizgiler batın içi kanamayı gösteriyor. Kırmızı çember içindeki bölgedeki kontrast kaçışı IVC’nin de muhtemelen hasar gördüğünü gösteriyor. Aynı hastanın koronal kesitinde sarı çizgi tam kata yakın hematom ve laserasyonu, kırmızı çizgiler abdomen içi kanama alanlarını gösteriyor. Kırmızı ok muhtemelen hasarlanmış vasküler yapıyı işaret etmekte.
Grade VI
Tam hepatik avülsiyonun olduğu yaralanma tipidir.
Kaynaklar
- Radiopeadia.org
- M. Hofer. “CT Teaching Manual”. Thieme Publishing Group 2. Baskı. s:103-116
- http://www.aast.org/library/traumatools/injuryscoringscales.aspx
- Parray FQ et al. Evaluating a conservative approach to managing liver injuries in Kashmir, India. J Emerg Trauma Shock 2011;4:483-7
