Yazı dizimizin bu bölümünde abdominal tomografi yorumlamada safra kesesi ve pankreas ile ilgili patolojilere değineceğiz. Safra yolları ve pankreasa ait aciller karın ağrılarının sık sebeplerinden. Her ne kadar özellikle safra yolları için çoğunlukla hepatobilier ultrason tercih edilecek tetkik olsa da günün her saatinde elimizin altında ultrason cihazı veya ultrason yapacak radyolog bulunmayabiliyor. Bununla birlikte kronik hastalıklarda tomografinin safra kesesi ve pankreasa ait komplikasyonları da daha iyi gösterdiği bir gerçek. Travmaya bağlı izole yaralanmaları nadir olduğundan ve travmatik patolojileri pankreatit bulguları ile oldukça benzer olan pankreas ve safra yollarının yalnızca travma dışı tomografi özelliklerine değineceğiz.
Safra kesesi ve safra yolları:
Safra kesesi karaciğerin altında bulunan boyutu 2-5 cm kadar olan bir oluşumdur. Kesenin duvar kalınlığı <3 mm, koledokun kalınlığı ise <6mm olmalıdır. Kolesistit akut batının sık sebeplerinden olup tomografi bulgularını bilmek hastaların taburculuk kararına yön vereceğinden önemlidir.
Akut kolesistit:
Ultrasondan daha az spesifik olmakla birlikte akut kolesistitin BT bulguları tanı için ve komplikasyonların değerlendirilmesi için kullanılabilir.
[box type=”shadow”]
Abdominal tomografi bulguları:
- Koleltihiasis
- Safra kesesinde distansiyon (boyutun longitudinal 9 cm, transvers 4 cm’den çok olması)
- Kese duvarında kalınlaşma (>3mm ve konstrast tutulumu olması)
- duvarda veya mukozada kontrast tutulumu
- perikolesistik sıvı veya inflamatuar fat stranding
- Komşu karaciğer parankiminde hiperemiye bağlı kontrast tutulumu
- Safra kesesi fundusunun ön duvara doğru yer değiştirmesi* (tensile fundus sign)
[/box]
Şekilde kırmızı çizgi ile kalınlığı yaklaşık 2 cm olan perikolesistik sıvı görülmekte. safra kesesi duvarının konstrast tuttuğu görülüyor. Yer yer duvarın devamlılığının bozulması perforasyon olarak algılanmamalı. Ödemli yapıda kontrast görünümü yer yer kesiliyor. Sarı okla görülen bölümde ise safra kesesi duvarının kontrast tuttuğu görülüyor. Bu bulgular akut kolesistit ile uyumlu.
Şekilde ok başları ile işaretli bölgede kese etrafındaki yağ dokunun inflamasyonu görülüyor. Ok ile işaretli bölgede kesede kontrast tutulumu görülüyor.
[box type=”shadow”]
Mirvis ve arkadaşları akut kolesistinin BT tanısı için bazı kriterler tanımlamış.
Major kriterler:
- Safra taşı
- Safra kesesi duvarında kalınlaşma
- Perikolesistik sıvı
- Subserozal ödem
Minör kriterler:
- Safra kesesinde distansiyon
- Sludge varlığı
En az 1 major ve 2 minör kriter bulunması tanı için yeterlidir.
[/box]
Safra kesesi ve safra yolları taşları:
Taşlar safra kesesi ve safra yollarının duodenum ile birleştiği noktaya kadar herhangi bir bölgede görülebilir ve proksimalinde genişleme ile obstrüksiyon görünümüne neden olabilirler.
Taşların görüntülenmesi için altın standart yine ultrason olmasına rağmen tomografideki görünümleri de tanıya yardımcıdır. Taş içeriğine göre tomografi görünümü değişiklik gösterir.
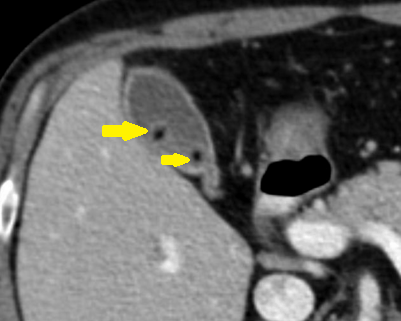
Taşlar madde içeriklerine göre tomografide hiperatenüe veya hipoatenüe görülebilir. Kırmızı oklarla görülen taşlar yüksek kalsiyum içeriği nedeniyle parlak görülmektedir. Sarı oklarla gösterilen kolesterol taşları genelde hipoekoik olurlar.
Safra yollarındaki taşlar da BT ile saptanabilir. Genellikle taşa bağlı staz bulguları tomografide farkedilir. Ödem ve enflamasyon, safra yollarında genişleme ve duvar kalınlaşması görülebilir.
Bu tomografi görüntüsünde kırmızı okla işaretli safra taşı ve koledok distalinde genişleme görülmekte. Bu hali ile oluşturduğu görünüme target sign adı veriliyor.
Pankreas
Pankreas yerleşim olarak karaciğer ve safra yollarının yanında midenin altında görülebilir. Kontrastsız incelemelerde görünümünü ayırt etmek zor olabilir. En sık kitlesel oluşumu olan pseudokist, diğer tümörleri, akut ve kronik inflamasyon durumları kendine has görünümler arz eder.
Psödokist
Pankreas çevresinde kontrast tutan, düzgün sınırlı bir çeper içerisindeki homojen sıvı koleksiyonu olarak görülürler. Yuvarlak veya oval olma eğilimindedirler. Psödokistler kronik inflamatuvar sürecin bir ürünü olarak karşımıza çıkar ve oluşmaları için yaklaşık 4 haftalık süre gerekmektedir. Genellikle semptom vermezken, bazen boyutları çok büyüyerek kitle etkisi, gastrik çıkım obstrüksiyonu, sekonder infeksiyonlar ile fark edilebilirler.
Şekilde ok ile işaretli kısımda, sol böbreğin hemen önünde, yaklaşık 4×4 cm’lik düzgün sınırlı koleksiyon alanı görülüyor. Çeper kalsifiye olduğundan yer yer parlak beyaz görünmekte. Psödokistler pankreas çevresindeki diğer kistik oluşumlardan düzgün şekilleri ve içerilerinde debris olmaması ile ayrılabilirler.
Pankreatit
Tomografide pankreatit için tipik olarak fokal veya diffüz parankim genişlemesi, ödem, sınırlarda düzensizleşme ve etraf retroperitoneal yağ dokuda stranding görünümü gözlenebilir. Likefaksiyon nekrozu, eklenen enfeksiyon tablosu, abse oluşumu ve hemoraji tabloya eklenebilir ve tomografide kendilerine has görünüm verebilir. Likefaksiyon nekrozunda pankreasın yer yer kontrast tutmaması ve sınırlarındaki düzensizleşme tipiktir. Enfeksiyon eklenmesi halinde enfeksiyona sekonder gaz oluşumu görülebilir. Abseler ise düzgün sınırlı sıvı kolleksiyonları olarak dikkat çeker. Hemoraji retroperitonda veya peripankreatik alanda kontrast kaçışı ile ayırt edilebilir.
Bu tomografi kesitinde kolesistektomi öyküsü olan hastada sarı okla görülen işaretli bölümde operasyon sonrasında geriye kalan cerrahi klipler görülmekte. Kırmızı okla işaretli pankreas dokusunun diffüz olarak ödemli olduğu farkedilebilir. Pankreasın etrafındaki mezenter dokusunda fat stranding bulgusu ve minimal serbest sıvı yeşil okla işaretli.
Bu tomografi görüntüsü ise nekrotizan pankreatite ait. Kırmızı okla görülen bölüm sınırları düzensiz, kontrast tutmayan pankreas dokusu. Pankreasın bulunduğu bölgenin de kontrast tutmadığı ve heterojen görünümlü olduğuna dikkat edilmeli. Klinik ilerledikçe abseleşme ve çevre dokularda da enflamatuar süreçlere ait bulgular görülecektir.
Kesit klinik olarak daha ilerlemiş bir pankreatit olgusuna ait. Batın içi serbest sıvı kırmızı okla ve kırmızı çizgi ile işaretlenmiş oalrak karaciğer çevresinde rahatlıkla görülebiliyor. Yeşil okla işaretli pankreas oldukça gneişlemiş ve etrafı serbest sıvı ile kaplanmış, fat stranding bulgusu da görülebiliyor. Sarı okla işaretli kısımda oluşan gaz görünümü enflamatuar sürecin ne kadar ilerlemiş olduğunu işaret ediyor.
Kaynaklar
- M. Hofer. “CT Teaching Manual”. Thieme Publishing Group 2. Baskı. s:103-116
- http://radiopaedia.org/cases/acute-necrotising-pancreatitis
- https://www.med-ed.virginia.edu/courses/rad/gi/biliary/bile_inflam_chldo.html
