Çocukluk çağında görülen kırıkların %65-75’ini üst ekstremite kırıkları oluştururken, bunların da %10 kadarı dirsek bölgesinde görülmektedir. Dirsek travması sonrası başvuran pediatrik hastalarda tanıyı netleştirmeye çalışırken bazı zorluklarla karşılaşırız; hikaye ve fizik muayenede kooperasyon kısıtlılığı, birden çok büyüme noktasının varlığı ve bunların yaşa göre farklılık göstermesi gibi büyüyen iskeletin sahip olduğu karmaşık yapı bunlardan bazılarıdır. Bu yazıda sizlere pediatrik hastada dirsek grafisi yorumlarken dikkat edilmesi gereken bazı noktalardan bahsetmeye çalışacağım, iyi okumalar.1–11
Erişkinlerden farklı olarak pediatrik grupta dirsek yaralanmalarının %60-70 gibi büyük bir kısmını suprakondiler humerus kırıkları oluşturur. Onu sırasıyla lateral kondil kırıkları (%15) ve medial epikondil kırıkları (%10) takip eder. (Erişkinlerde ise en sık Radius boyun/baş kırığı görülmekte olduğunu hatırlayalım)
Anatomi
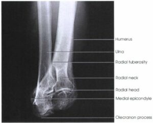
Dirsek eklemi üç ayrı eklemin bir araya gelmesiyle oluşan trochoginglymoid tipte bir eklemdir. Bunlar;
- Radiohumeral; Capitellum ve radius başı arasında.
- Ulnohumeral: Trochlea ve Olekranon arasında.
- Radioulnar: Proksimal radius ve ulna arasında.



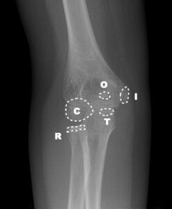
Doğumda dirsek eklemi tamamen kıkırdaktır ve radyografilerde bu kıkırdak alana bağlı olarak geniş radyolüsent bir alan görülür. Büyümeyle birlikte kemik dirseği oluşturacak ikincil kemikleşme noktaları ortaya çıkar. Düzgün radyolojik değerlendirmenin yapılabilmesi için bu kemikleşme noktalarının anatomik yapısı ve gelişiminin iyi bilinmesi gereklidir.
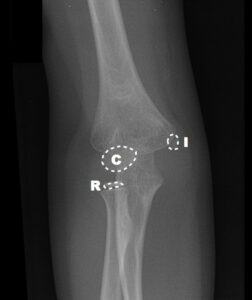
Bu noktaların ortaya çıkma zamanı tahmin edilebilir ancak hastadan hastaya, yaşa, cinsiyete, gelişime göre farklılık gösterebileceği unutulmamalıdır. Karşı taraftaki dirsekle karşılaştırılması patolojik görünüm ya da yapısal farklılığın ayırt edilmesinde yardımcı olur. Bu kemikleşme merkezlerinden ilk ortaya çıkanı Kapitulumdur. Ortaya çıkma sırasına göre “CRITOE” kısaltması kullanılabilir. Kapitulum hariç bu merkezler kızlarda erkeklere göre daha erken görülmektedir.
| KIZ | ERKEK | YAKLAŞIK | |
| C – CAPİTULUM | 1 YAŞ | 1 YAŞ | 1 YAŞ |
| R -RADİUS | 4 YAŞ | 5 YAŞ | 3 YAŞ |
| I – INTERNAL(MEDİAL) EPİKONDİL | 5 YAŞ | 7 YAŞ | 5 YAŞ |
| T – TROCHLEA | 8 YAŞ | 9 YAŞ | 7 YAŞ |
| O – OLECRANON | 8 YAŞ | 10 YAŞ | 9 YAŞ |
| E – EKSTERNAL(LATERAL) EPİKONDİL | 11 YAŞ | 12 YAŞ | 11 YAŞ |
[box type=”info” align=”aligncenter” class=”” width=””]Basitçe ilk merkez olan Kapitulumun 1 yaş civarında ortaya çıktığını diğerlerinin ise yaklaşık 2’şer yıl arayla ortaya çıktığını söyleyebiliriz.[/box]
[toggle title=”CRITOE” state=”open”]




Dirseğin sahip olduğu önemli damar ve sinir komşuluklar nedeniyle, kemik patolojisi yanı sıra nörovasküler değerlendirme de önemlidir.
Kimlere Grafi Çekelim?
Bu konuda kabul görmüş rutin bir uygulama yok.
Ancak travma öyküsü bilinen hastada
- Dirsekte ağrılı şişlik, ekimoz varlığı
- Ekstansiyon kısıtlılığı
- Gözle görülen deformite varlığı
- Radius başında hassasiyet varlığında grafi çekilmeli.
[box type=”info” align=”alignleft” class=”” width=””]Yapılan bir çalışmada çocuk ve adölesanlarda, karşı kola göre dirsekte aktif hareket kaybı olması kırık veya efüzyon için % 100 duyarlı bulunmuş. Aynı çalışmada hareketin korunması ise kırık yokluğu için % 97 özgüllüğe sahip saptanmış.[/box]
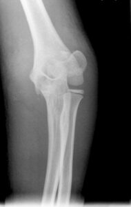
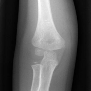
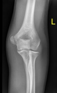
Grafi kararı alınan hastada Antero-Posterior(AP) ve Lateral grafi standart olarak ilk yapılan görüntülemelerdir.
AP grafi çekilirken dirsek tam ekstansiyonda ve önkol supinasyonda olmalı.
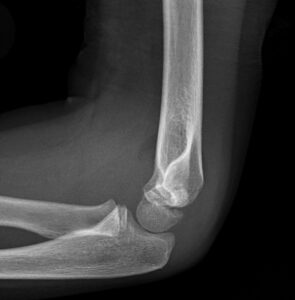
Uygun bir lateral grafi çekimi için dikkat edilmesi gereken noktalar ise; dirsek 90° fleksiyonda, ön kol supinasyonda, humerus ve önkol çekim yapılan kasete temas etmeli yani omuz dirsekten daha yukarıda olmamalıdır.
Bunların yanı sıra Jones grafisi, internal ve eksternal rotasyon grafileri de seçilmiş vakalarda, arada kalınan durumlarda kullanılabilir.
Özellikle ağrı nedeniyle ekstansiyon kısıtlılığı olan durumlarda uygun AP grafi çekilemeyebilir. Bu gibi durumlarda dirsek hiperfleksiyonda Jones grafisi yardımcı olabilir.
[box type=”success” align=”alignleft” class=”” width=””]
Dirsek grafisi yorumlarken bakılması gereken bazı noktalar;
- İkincil kemikleşme noktaları
- Gözyaşı bulgusu (Teardrop, kum saati görünümü)
- Anterior humeral hat
- Radiokapitellar hat
- Ön ve arka yağ yastıkçığı bulgusu
- Bauman açısı
- Radius baş/boyun sınırının düzenliliği
- Distal humerus, olekranon, ulna sınırları
[/box]
[toggle title=”İkincil Kemikleşme Noktaları” state=”close”]
[toggle title=”Gözyaşı Bulgusu (Teardrop, Kum saati görünümü)” state=”close”]
Bu radyografik gölge önde koronoid fossanın arka sınırı, arkada olekranon fossanın ön sınırı altta da kapitulumun üst kısmından oluşmaktadır. Doğru çekilmiş bir lateral grafide gözyaşı bulgusunun görülmesi gerekir.
Gözyaşı halkasında bozukluk ya da kum saati görünümünde belirsizlik olması uygun olmayan lateral grafi ya da orada bir kırık varlığını düşündürür.
[toggle title=”Anterior Humeral Hat” state=”close”]
Lateral grafide humerus ön yüzeyine paralel ve bitişik çekilen çizgi kapitulumun 1/3 ortasından geçmelidir.
Bu hattın öne ya da arkaya yer değiştirmesi suprakondiler humerus kırığını destekler.


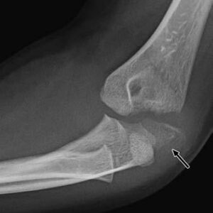
Aynı zamanda suprakondiler kırık hattıyla beraber posterior yağ yastıkçığı bulgusu da görülmekte

Bununla beraber kırık hattı ve posterior yağ yastıkçığı bulgusu da seçilmekte.
[box type=”info” align=”” class=”” width=””]Ancak yapılan çalışmalar <2.5 yaş çocuklarda kapitulumun küçük boyutu nedeniyle kırık olmayan normal grafilerde de anterior humeral hattın kapitulum önünden geçtiği görülmüş. Bu yüzden >2.5 yaş çocuklarda değerlendirilmesi daha doğru sonuçlar vermekte.[/box][/toggle]
[toggle title=”Radiokapitellar Hat” state=”close”]
AP, Lateral ve Oblik grafilerde radius başının ortasından geçecek şekilde çekilen çizgi kapitulumun ortasından geçmelidir.
Bu hat üzerinde herhangi bir sapma radius başı çıkığını düşündürür. Bunun dışında lateral kondil kırıklarında da bu hat üzerinde bozulma görülebilir.



Radiokapitellar Hat Kapitulumun medialinde kalmış

[/toggle]
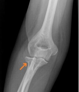
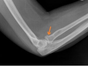
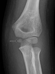
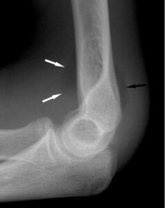
[toggle title=”Ön ve Arka Yağ Yastıkçığı Bulgusu” state=”close”]
Normalde eklem kapsülünde yağ yastıkçıkları bulunur.
Anterior yağ yastıkçığı koronoid fossada bulunur ve normal grafide de ince bir çizgi halinde görülebilir. Ancak anterior yağ yastıkçığı ayrışmış ve daha belirginleşmişse buna Yelken Bulgusu (Sail sign) denir ve görülmesi patolojiktir.
Olekranon fossada bulunan posterior yağ yastıkçığının grafide görülmesi ise her zaman patolojiktir.
Bazı non-deplase kırıklarda kırık hattı görülemeyebilir ve anormal yağ yastıkçığı işareti yaralanmanın tek bulgusu olabilir.
Travma öyküsü olan hastalarda yağ yastıkçığı görülmesi aksi kanıtlanana kadar kırığa sekonder düşünülmelidir.

[/toggle]
[toggle title=”Baumann açısı (Humerokapitellar açı)” state=”close”]
Lateral kondiler fizeal açı ile humerus uzun ark arasında kalan açıdır.
Normali 10-20°dir. Karşı eklemle karşılaştırılmalı, aralarındaki fark >5° olmamalıdır.
Distal humerus kırıklarının değerlendirilmesi yanı sıra kırıkta yapılan redüksiyon başarısının değerlendirilmesinde de kullanılır.
Sık Karşılaşılan Yaralanmalar
[toggle title=”Suprakondiler Humerus Kırığı” state=”close”]
Tüm dirsek bölgesi kırıklarının %60-70ini suprakondiler humerus kırıkları oluşturur.
En sık 5-8 yaş arasında görülür ve erkek: kız oranı 3:2’dir
Ekstansiyon tipi yaralanma (%95) çoğunlukla açık el üzerine düşme sonrası görülürken, fleksiyon tipi yaralanma (%5) daha çok dirseğin direkt travmaları sonrası görülür
Kırıklar Gartland sınıflaması ile sınıflandırılır.
Tip 1: Ayrışmamış kırıklardır ve grafide belirlenmesi zor olabilir.
Tip 2: Arka korteksin sağlam olduğu deplase kırıklardır. Anterior Humeral Hat kapitellumu kesmez, önünden geçer.
Tip 3: Ön ve arka kortekste belirgin ayrılma vardır. Tam deplase kırık.
Tip 4. Fleksiyon ve ekstansiyonda instabil olan kırıklardır



En ciddi komplikasyonu ön kolun kompartman sendromu olan Volkmann iskemik kontraktürüdür.
Nörolojik komplikasyonlar %7-10 oranında görülmektedir. Çoğunlukla median sinirin anterior interosseoz dalı zedelenir. Fleksiyon tipi kırıklarda ise özellikle ulnar sinir risk altındadır.
[toggle title=”Lateral Kondil Kırıkları” state=”close”]
En sık 6 yaş civarında görülürler
Dirsek ekstansiyonda ve önkol supinasyondayken dirseğe varus stresi uygulanması en sık görülen yaralanma mekanizmasıdır.
Suprakondiler kırıklara göre damar sinir yaralanma oranı daha düşüktür.
Fizik muayenede dirseğe pronasyon-supinasyon sırasında krepitasyon alınabilir.
[toggle title=”Medial Epikondiler Kırıklar” state=”close”]
Çoğunlukla 10-14 yaş arası çocuklarda görülür.
Yaralanma direkt travma sonucu olabileceği gibi fleksör kas grubunun oluşturduğu avülsiyon sonucu ya da dirsek çıkığına sekonder de olabilir.
Medial epikondil kırıklarının yarısına yakınında eşlik eden dirsek çıkığı da görülür. Bu hastalarda dirsek redükte edildiğinde medial epikondil kırığı da redükte olur.
Kırık parçanın eklem içinde kalması nedeniyle redüksiyon yapılamayan durumlarda ya da kırığa eşlik eden ulnar sinir yaralanması varlığında cerrahi tedavi gerekir.
[toggle title=”Distal Humerus Transfizeal Yaralanması” state=”close”]
Nadir görülen kırıklardır.
Çoğunlukla 2-3 yaştan küçük çocuklarda görülür.
Yaralanma mekanizması çoğunlukla doğum travmaları, çocuk istismarı, açık el üzerine düşmedir.
Küçük çocuklarda (<4 yaş) kemikleşen tek kıkırdak kapitellum olduğundan tanı koymak zordur.
Proksimal radius ve ulna arasındaki ilişki korunmuş ancak bunların humerus ile ilişkisi bozulmuştur. Grafi ilk bakışta posterior dirsek çıkığını andırsa da, dirsek çıkığından farklı olarak bu kırıklarda radius ve kapitulum arasındaki ilişki korunmuştur (Radiokapitellar Hat normal görülür)
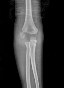
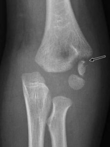
[toggle title=”Radius Baş/Boyun Kırıkları” state=”close”]
Erişkinlerde dirsek bölgesinin en sık görülen kırığı olsa da pediatrik hasta grubunda %5 civarında görülmektedir. Çocuklarda radius boyun kırığı radius başı kırıklarına göre daha çok görülmektedir.
AP ve Lateral grafi değerlendirmesi tek başına yeterli olmayabilir, arada kalınan durumlarda oblik grafi görmek gerekir.
[box type=”info” align=”” class=”” width=””]İlk çekilen grafide yalnızca posterior yağ yastıkçığı bulgusu olan dirsek travmalı hastalarda takip sonrası çekilen kontrol grafilerde en sık yakalanan 2. kırık radius baş/boyun kırıkları saptanmıştır.[/box][/toggle]
[toggle title=”Olekranon Kırığı” state=”close”]
Dirsek çevresi kırıklarının yaklaşık%5 kadarını oluşturur.
%30 kadarına radius boyun kırığı, koronoid kırığı, medial epikondil kırığı gibi ek yaralanmalar eşlik eder.


[/toggle]
[toggle title=”Dirsek Çıkığı” state=”close”]
Çocuklarda tüm dirsek yaralanmalarının %3-6 kadarını oluşturmaktadır ve insidansı fizislerin kapandığı 13-14 yaşta pik yapar. Dirsek çıkıklarının %90ı posterolaterale doğru olur.
Dirsek çıkığına kırıkların eşlik etmesi sık görülür. En sık Medial epikondil, koronoid ve radius baş/boyun kırığı görülür.
Redüksiyon öncesi ve sonrası mutlaka nörovasküler değerlendirme yapılmalıdır.
Grafide Radiokapitellar hat bozulması yanı sıra eşlik edecek kırıklara dikkat edilmelidir.



[/toggle]
[toggle title=”Radius Başı Subluksasyonu” state=”close”]
Dadı dirseği olarak da bilinen bu yaralanmanın en sık görüldüğü dönem 2-3 yaşlardır.
[highlight color=”green”]6 aydan küçük çocuklarda en sık görülen ortopedik yaralanma olarak bildirilmiş.[/highlight]
%5-30 oranında tekrar etmekteyse de annuler ligamanın güçlendiği 5 yaşından sonra geçer.
Ekstansiyondaki dirseğe uygulanan longitudinal traksiyon sonucu ortaya çıkar.
Tipik olarak hasta önkol pronasyonda, dirsek hafif fleksiyonda tutar ve aynı taraf eli kullanmaz.
[box type=”info” align=”” class=”” width=””]Klasik öykü mevcutsa, çocuk 5 yaşından küçükse ve muayene de destekliyorsa radyolojik görüntüleme gereksizdir.[/box]
Zaten grafi çekilenlerin çoğunda da AP grafi için ön kol supinasyona getirildiği sırada redükte olur.
[box type=”success” align=”” class=”” width=””]Redüksiyon için önkol supinasyona getirilirken radius başına başparmakla baskı uygulanır, daha sonra ise önkol supinasyondayken dirsek maksimum fleksiyona getirilir. Aynı zamanda hiperpronasyon tekniği de kullanılabilir.[/box]
Redüksiyon sırasında palpabl klik duyulabilir.
Genellikle redüksiyon sonrası 5-10 dk içinde ağrı azalmasıyla birlikte üst ekstremite normal olarak kullanılmaya başlanır.
[highlight color=”green”]Redüksiyon sonrası film çekilmesi de gereksizdir.[/highlight][/toggle]
Kaynaklar
- 1.Iyer RS, Thapa MM, Khanna PC, Chew FS. Pediatric Bone Imaging: Imaging Elbow Trauma in Children???A Review of Acute and Chronic Injuries. American Journal of Roentgenology. May 2012:1053-1068. doi:10.2214/ajr.10.7314
- 2.Jacoby S, Herman M, Morrison W, Osterman A. Pediatric Elbow Trauma: An Orthopaedic Perspective on the Importance of Radiographic Interpretation. Semin Musculoskelet Radiol. March 2007:048-056. doi:10.1055/s-2007-984412
- 3.DeFroda SF, Hansen H, Gil JA, Hawari AH, Cruz Jr. AI. Radiographic evaluation of common pediatric elbow injuries. Orthop Rev (Pavia). February 2017. doi:10.4081/or.2017.7030
- 4.Kalenderer Ö, Erkuş S. Çocuklarda dirsek çevresi kırıkları. TOTBID. 2019. doi:10.14292/totbid.dergisi.2019.47
- 5.Iyer R, Thapa M, Khanna P, Chew F. Pediatric bone imaging: imaging elbow trauma in children–a review of acute and chronic injuries. AJR Am J Roentgenol. 2012;198(5):1053-1068. https://www.ncbi.nlm.nih.gov/pubmed/22528894.
- 6.Smithuis R. Elbow – Fractures in Children. Educational site of the Radiological Society of the Netherlands. http://www.radiologyassistant.nl/en/p58c4dd5b9219a/elbow-fractures-in-children.html.
- 7.Browner BD, Fuller RP. Pediatric Elbow. In: MUSCULOSKELETAL EMERGENCIES. ELSEVIER SAUNDERS; 2013:392-411.
- 8.Bell DJ, Jones J. Pediatric elbow radiograph (an approach). Radiopaedia’s mission is to create the best radiology reference the world has ever seen and to make it available for free, for ever, for all. https://radiopaedia.org/articles/paediatric-elbow-radiograph-an-approach.
- 9.Otsuka N. Pediatrik Dirsek. In: Kırık ve Çıkıklar El Kitabı. Wolters Kluwer/lippicott Williams & Wilkins; 2017:582-626.
- 10.Özdemir M, Bubberman A, Kroon HM. X-elbow. We know how hard it is to find practical radiological information for the internships. That’s all in the past now: We know how hard it is to find practical radiological information for the internships. That’s all in the past now: your radiological knowledge starts at StartRadiology!!!! http://www.startradiology.com/internships/emergency-medicine/elbow/x-elbow/.
- 11.Kazımoğlu C, Karapınar H, Şener M. Çocuklarda Dirsek Çevresi Kırıkları. TOTBİD . 2008;7(3):97-103.
2 Responses
Örnekler çok iyi olmuş. Ellerinize sağlık.
Süper – tşk!!