Travmatik beyin hasarı (TBH); kafa travmalı çocuk hastalarda ölüm ve sekele yol açabilen ciddi bir durumdur. Travma mekanizmasında en sık nedenler düşme (%50,2), kafaya direkt darbeler (%24.8) ve motorlu araç kazalarıdır (%17.3). Yine TBH ile acil servise en sık başvuran yaş grubu 0-4 yaş arası çocuklardır. Bilgisayarlı tomografi (BT) TBH’ı saptamada standart tanı yöntemidir. Minör kafa travmalı her çocuk hastada BT ile görüntüleme yapmak gerekli olmayabilir ve radyasyon maruziyeti açısından da zarar verici olabilir. Pediatrik kafa travmasında BT kararı için önceki yazımızı burayı tıklayarak okuyabilirsiniz.
Yatak başı ultrason, travmanın minör olduğu, bilinç kaybı, uykuya meyil, bulantı-kusma, davranış değişikliği, ajitasyon ve nöbet gibi bulguların olmadığı çocuk hastalarda; acil servis doktoruna yardımcı, hasta için de zararsız, pratik bir prosedür olarak kullanılabilir. Yine kraniyal ultrason ile kafatası kırığı saptanan çocuklarda, eşlik edebilecek hemoraji/ kontüzyon açısından BT ile ileri görüntüleme kararı alınabilir. BT ve manyetik rezonans görüntüleme (MRI) radyasyon maruziyeti, görüntülemeye kadar geçen süre dezavantajları ile çoğu zaman sedasyon gerekliliği, intrakraniyal ultrasonu, minör kafa travmalı çocuklar için yardımcı bir yöntem olarak kullanışlı kılmaktadır.
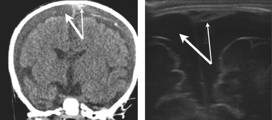
Pediatrik kafa travmasında ultrason işleminde, pediatrik kafatasındaki fontaneller akustik pencere için kemik engelini ortadan kaldırarak görüntülemeye yardımcı olur. Bunun yanında ince temporal kemik üzerinden de görüntü alınabilir. Fontanelden görüntü alınacaksa 1.75- 5 MHz’lik prob yeterli olurken, temporal kemik üzerinden alınacak görüntülerde 7-10 MHz’lik lineer prob tercih edilmelidir. Ön fontanelden yüksek frekanslı lineer prob kullanılarak intrakraniyal kanama (İKK) açısından oldukça yararlı görüntüler elde edilebilinir.
Bu konuda yapılmış güzel bir çalışmayı örnek gösterelim. McCormick ve ark.’nın 2015 te yayınlanmış prospektif çalışmalarına, BT ile kafa içi kanama saptanmış, pediatrik kafa travmalı hastalardahil edilmiş. Tüm hastalara acil hekimi tarafından intrakraniyal USG ile görüntüleme yapılıp, görüntüler video klip olarak kayıt edilmiş. Hastaların tanı ve klinik durumlarına kör olan ve ultrason konusunda eğitimli iki bağımsız acil doktorundan, bu video klipleri izleyip İKK var veya yok şeklinde yorum yapmaları istenmiş.
Çalışmaya 12 hasta dahil edilmiş. 4 hastada İKK varmış, diğer 8 hasta ise kontrol grubu olarak alınmış. Birinci gözlemci İKK’yı %100 duyarlı ve % 100 özgüllük ile belirlerken, ikinci gözlemcinin duyarlılığı %50 ve özgüllüğü %87.5’ miş. Gözlemciler arasındaki anlaşma oranı %75 olarak bulunmuş. Bu gözlemciler ultrason konusunda eğitildikleri halde daha önce hiç intrakraniyal USG deneyimi olmayan doktorlarmış.



Çalışmadaki kısıtlılıklara rağmen USG konusunda eğitimli bir acil doktorunun kraniyal USG ile İKK’yı belirleyebileceği gösterilmiş ve yeterli teorik ve pratiğe sahip bir doktorun İKK’yı başarıyla belirleyebileceğine kanaat getirilmiş.
Sonuç olarak acil serviste minör kafa travmalı çocuk hastada yüksek frekanslı probla, travma lokalizasyonuna en yakın yerden yapılacak intrakraniyal ultrasonografi ile hastayı radyasyona maruz bırakmadan hızlıca bir ön değerlendirme yapılabilir, ajite ve hareket halindeki çocuğun sedasyonuna gerek kalmayabilir. Majör kafa travması olup, ilk etapta görüntülemeye gidemeyecek hastalarda da kanamanın boyutu hakkında fikir sağlayıp hekime erken entübasyon kararında destek olabilir.
Siz de acil servisinizde çocuk travma hastalarına bakıyorsanız ve ultrasonunuz da varsa, minör travmalı hastalarınızda bu yöntemi deneyebilirsiniz. Bir sonraki yazımızda görüşünceye dek probunuz sizinle olsun.


KAYNAKLAR
- Rabiner JE, Friedman LM, Khine H, et al. Accuracy of point-of-care ultrasound for diagnosis of skull fractures in children. Pediatrics.2013;131:e1757–
- McCormick T1, Chilstrom M, Childs J, McGarry R, Seif D, Mailhot T, Perera P, Kang T, Claudius I. Point-of-Care Ultrasound for the Detection of Traumatic Intracranial Hemorrhage in Infants: A Pilot Study. Pediatr Emerg Care. 2015.
- Daniel A Lichtenstein. Whole Body Ultrasonography in the Critically Ill.
Editör: Yusuf Ali Altuncı
3 Responses
Son 2 resim artefakli mı yoksa hiperekoik alanlar? Elinize sağlık…
Güzel bir yazı, eline sağlık.
Teşekkürler abi 🙂