Bir bakışta ultrason: Kalp, ikincil patolojiler
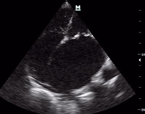
85 yaşında bir kadın hastada acil ultrasonografi görüntülemesi sırasında alınan EKO görüntüleri.
Aşağıdaki görüntülerde kaç tane major patoloji vardır?
Bulgular (görmek için tıklayın)
Normal kardiyak görüntüleme için Temel EKO yazımıza bakabilirsiniz.
1. Biatriyal genişleme, özellikle sol atriyumda (Figür 1).
Sol atriyum (SA) pompa fonksiyonu, sol ventriküler (SV) stroke volümünün %20’si kadar kardiyak outputa katkıda bulunur ve normal SA volümü iki düzlem ölçümde yaklaşık olarak 22 ± 6 mL/m2 dir. SA genişlemesi sıklıkla basınç ve/veya volüm yüklenmesi ile ilişkilidir.
Basınç yüküne bağlı SA genişlemesi, sıklıkla mitral stenosis veya SV disfonksiyonu durumunda artmış SA artyükü ile ilişkilidir.
SA volüm yükü ise, mitral kapak regürgitasyonu, arteriovenöz fistül, soldan sağa şant veya yüksek kardiyak output durumu ile ilişkilidir.
SA genişlemesinin klinik etkileri arasında atriyal fibrilasyon, stroke ve ejeksiyon fraksiyonu korunmuş kalp yetmezliği yer almaktadır. SA genişlemesi her üç durum için de farklı oranlarda prediktiftir.1
2. Kalsifik mitral kapak ve kısıtlı kapak açılımı (Figür 1).
Mitral kapak kalsifikasyonunun görülme oranı %7-8 civarındadır, yaşlılarda daha fazladır. Sıklıkla mitral stenoz veya regürjitasyonu ile sonuçlanır. Dahası mitral kapak kalsifikasyonu, diğer ciddi kardiyovasküler hastalıklarla ilişkilidir; artmış stroke riski, kardiyak ileti bozuklukları ve aterosklerosiz (koroner arter kalsifikasyonu dahil).2 Mitral stenoz kesin tanısı için parasternal kısa aks mitral kapak açılım alanını ölçmek faydalı olacaktır.
3. Orta-ileri mitral yetmezlik, orta triküspit yetmezlik (Figür 2).
Mitral regürjitasyon (MR) daha çok kapak kaynaklı-primer (organik/yapısal kapak hastalığı) ve kapak dışı nedenler-sekonder (fonksiyonel/yapısal olmayan, organik kapak hastalığı olmayan) olarak ikiye ayrılır. Mitral regürjitasyon şiddetini belirleyen farklı sınıflamalar olmasına ragmen en sık kullanılanı görsel/kalitatif olanıdır. Mitral ve triküspit regürjitasyon görsel sınıflaması benzerdir.4
Primer MR Şiddeti Sınıflaması
| Parametre | Hafif | Orta | Ciddi |
|---|---|---|---|
| Kalitatif | |||
| Mitral kapak morfolijisi | Normal/abnormal | Normal/abnormal | Flail kapak/rüptüre papiller kas |
| MR jet renkli akımı | Küçük, santral | Orta | Çok büyük santral akım veya sol atrium arka duvarına ulaşan jet akımı |
| MR jet sürekli akım sinyali | Soluk / parabolik | Yoğun / parabolik | Yoğun / üçgen |
| Yarı kantitatif | |||
| Vena kontrakta genişliği | <3mm | İkisinin arasında | >7mm |
| Pulmoner ven akımı | Sistolik dominans | Sistolik küntleşme | Sistolik akış tersi |
| Kantitatif | |||
| Regürjitan volümü | <30ml | 30-44;45-59 | >60ml |
4. Mitral kapak posteriorda immobil hiperekojen (kalsifik) kitle görünümü (Figür 3-4).
Mitral annulus kalsifikasyonu ve posterior mitral kapakta kalsifiye kitle birlikteliği literatürde sıklıkla yaşlı ve diyaliz hastalarında daha sıklıkla gösterilmiştir. Kitle saptanan hastalarda tromboemboli riski ve kitle ayırıcı tanısı için sıklıkla cerrahi gerekir. Ayırıcı tanılar arasında kalsifiye kardiyak miksoma, fibroma, fibroelastoma ve kazeöz mitral anuler kalsifikasyon yer alır.3
Görüntüler bu hastada mitral kapakta kitle patolojisine sekonder mitral stenoz ve regurjitasyon gelişmesini ve sonrasında da dev sol atriyum meydana gelmesini işaret etmektedir. Burada yazılmayan sizin gözünüze çarpan başka tanıları yazımızın altında belirtebilirsiniz.
Not: EKO görüntüleri Kardiyoloji Uzmanı Dr. İsmail Şahin eşliğinde yorumlanmıştır.
Kaynaklar
- Patel D, Lavie C, Milani R, Shah S, Gilliland Y. Clinical Implications of Left Atrial Enlargement: A Review. Ochsner J. 2009;9(4):191-196. [PMC]
- Mahnken A, Mühlenbruch G, Das M, et al. MDCT detection of mitral valve calcification: prevalence and clinical relevance compared with echocardiography. AJR Am J Roentgenol. 2007;188(5):1264-1269. [PubMed]
- Masuda S, Motoyoshi N, Ito K, et al. Surgical removal of calcified amorphous tumor localized to mitral valve leaflet without mitral annular calcification. Surg Case Rep. 2015;1:39. [PMC]
- Lancellotti P, Tribouilloy C, Hagendorff A, et al. Recommendations for the echocardiographic assessment of native valvular regurgitation: an executive summary from the European Association of Cardiovascular Imaging. Eur Heart J Cardiovasc Imaging. 2013;14(7):611-644. [PubMed]
Editör: Serkan Emre Eroğlu
