Spor travmaları ve travmaya yaklaşım yazılarımızdan bir yenisiyle daha karşınızdayım. Biz acil hekimleri olarak aşina olduğumuz bir tanı olan avülsiyon fraktürlerinin risk faktörleri arasında bazı spor tipleri de yer almaktadır. Kimi zaman önemsemediğimiz ve basit bir yumuşak doku travması olarak değerlendirdiğimiz bu spor yaralanması tipinde erken tanı ve tedavi oldukça önemlidir. Hazırsanız sizlere yeni bir ufuk açacağını umduğum bu yazıyı gelin okumaya başlayalım.
Giriş
Avülsiyon fraktürü, kas, tendon ya da bağların kemik üzerine yaptığı ani ve kuvvetli çekme etkisiyle, kemiğin bir parçasının koparak ayrılması şeklinde tanımlanır. Bu yaralanmalar özellikle çocuk ve adolesanlarda büyüme kıkırdakları kemiğe göre daha zayıf olması nedeniyle daha sık görülmektedir. Spor yaralanmaları, düşme ya da ani hareket değişiklikleri sık nedenler arasındadır1.
Spor yaralanmaları içinde kemik, kas ve tendon bütünlüğünü ilgilendiren travmalar geniş bir yelpazeye sahiptir. Özellikle genç sporcularda görülen avülsiyon fraktürü, çoğu zaman basit kas zorlanmaları ile karıştırılabilen ancak uygun yönetilmediğinde kalıcı fonksiyon kayıplarına yol açabilen önemli lezyonlardır. Acil serviste çalışan hekimlerin bu yaralanmaları erken dönemde fark etmesi hem doğru tedavi planlaması hem de uzun vadeli sporculuk kariyerinin korunması açısından kritik öneme sahiptir.
Avülsiyon Fraktürü Nedir?
Avülsiyon fraktürü, kas veya bağın kemiğe yapıştığı noktada ani ve güçlü bir çekme kuvveti ile kemiğin bir parçasını kopararak yerinden ayırması sonucu oluşan bir kırık tipidir. Bu yaralanma mekanizması genellikle ani hızlanma, yavaşlama, yön değiştirme ya da sıçrama gibi yüksek enerji gerektiren sportif aktiviteler sırasında ortaya çıkar. Kasın ani kasılması ya da gerilmesi, kemiğin apofiz adı verilen büyüme kıkırdağı bölgelerinde zayıf noktaları hedef alır ve bu nedenle özellikle ergenlik dönemindeki sporcularda daha sık görülür. Yetişkinlerde ise genellikle yüksek enerjili travmalar veya aşırı zorlayıcı hareketler sonucu gelişir2.
Mekanizma
Kemik, kas ve bağ dokusu arasındaki güç dengesizliği, avülsiyon fraktürünün temel mekanizmasını oluşturur. Kasın ani ve güçlü kontraksiyonu, zıplama, sprint, yön değiştirme sırasında aşırı yüklenme en sık suçlanan nedenler arasındadır. Direkt travma olmaksızın avülsiyon kırığı oluşabilmesi, yanlış tanı konmasına yol açabilmektedir3.
Risk Grupları
Avülsiyon fraktürleri için risk grupları, özellikle büyüme kıkırdakları henüz kapanmamış olan ergenlik çağındaki sporculardır. Bu dönemde kaslar hızla güçlenirken, kemiklerin apofiz bölgeleri nispeten daha zayıf olduğundan ani kas kasılmaları kolayca avülsiyon kırığına yol açabilir. Futbol, basketbol, atletizm, jimnastik ve sprint gibi ani yön değiştirme, sıçrama veya patlayıcı güç gerektiren sporlarla uğraşanlar risk altındadır. Ayrıca yeterli ısınma yapmadan yoğun antrenman yapan sporcular, esneklik eksikliği olanlar, kas-kemik dengesizliği yaşayan bireyler ve daha önce benzer yaralanma öyküsü bulunanlar da avülsiyon fraktürü açısından yüksek risk taşır4.
Epidemiyoloji
Avülsiyon fraktürleri en sık adolesan erkek sporcularda görülür. Erkeklerde daha sık gözükmesinin sebebi hem kas kütlesinin yüksek hem de yüklenmenin fazla olmasıdır. Ani sprint, yön değiştirme, sıçrama ya da kuvvetli kas kontraksiyonları risk oluşturur. Erişkinlerde ise bağların kemikten daha güçlü olması nedeniyle, benzer mekanizmada daha çok bağ veya tendon yaralanması gelişir. Yüksek enerjili travma (trafik kazası, yüksekten düşme) durumlarında erişkinlerde de görülebilir3.

En Sık Görülen Avülsiyon Fraktürleri
Avülsiyon fraktüründen en sık etkilenen bölgeler; pelvis ve kalça çevresi (ASIS, AIIS, iskial tüberozite), diz çevresi (patella, tüberositas tibia), ayak bileği ve ayağın tarak kemikleri ve omuz ve dirsek olarak ön plana çıkmaktadır5.
1. Spina iliaca anterior superior (SIAS) avülsiyon fraktürü
- Kas bağlantısı: Sartorius
- Mekanizma: Sprint veya ani yön değiştirme
- Klinik: Kalça ön yüzünde ağrı, yürüme güçlüğü
- Sporcu tipi: Futbolcu, koşucu
2. Spina iliaca anterior inferior avülsiyon fraktürü
- Kas bağlantısı: Rectus femoris
- Mekanizma: Zıplama veya topa şut atma sırasında
- Klinik: Kalça fleksiyonu ile ağrı
- Sporcu tipi: Basketbolcu, futbolcu
3. Ischial tuberosity avülsiyon fraktürü
- Kas bağlantısı: Hamstring grubu
- Mekanizma: Sprint, uzun adımda ani gerilme
- Klinik: Oturma sırasında ağrı, yürümede zorlanma
- Sporcu tipi: Sprinter, futbolcu
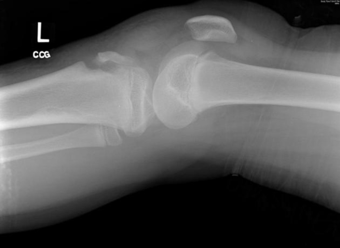
4. Tibial tuberositas avülsiyon fraktürü
- Kas bağlantısı: Patellar tendon (Quadriceps)
- Mekanizma: Sıçrama, basketbol smacı, voleybol
- Klinik: Diz önünde ani ağrı, hematom
- Sporcu tipi: Basketbolcu, voleybolcu
5. Lesser trochanter avülsiyon fraktürü
- Kas bağlantısı: Iliopsoas
- Mekanizma: Kalça fleksiyonunda ani yük
- Klinik: Diz fleksiyonu ile kalça ağrısı
- Önem: Malignite varlığında da görülebilir, dikkat!
Avülsiyon Fraktürü ve Klinik Bulguları
Acil servise başvuran hastalar genellikle ani bir ‘çıt’ veya ‘kopma’ hissi tarif eder. Travma anında keskin ağrı, hemen gelişen hareket kısıtlılığı, şişlik, hematom ve lokal hassasiyet en sık görülen belirtiler arasındadır. Genellikle hematom ve minimal ödem ile hastalar başvurmakta olup basit bir yumuşak doku travması sanılıp hatalı tanı koyma gerçekleşebilmektedir6.
En sık görülen muayene bulguları ise aşağıdaki gibidir:
- Etkilenen bölgede palpasyonla şiddetli ağrı
- Eklem hareketlerinde kısıtlılık
- Palpabl kemik defekti
Ayırıcı Tanı
Avülsiyon fraktürü tanı koyma aşamasında benzer bulgular olmasından dolayı bir çok travmatik yaralanma ile karışabilmektedir. Muayene aşamasında oldukça dikkatli olunmalı ve ayırıcı tanıdaki diğer etyolojiler mutlaka gözden geçirilmeldir.3 Tanı koyma aşamasında başlıca yer alan ayırıcı tanılar aşağıdaki gibidir:
- Tendon veya bağ yırtıkları
- Kas strainleri
- Epifiz ayrılması
- Direkt travmaya bağlı kemik fraktürleri
- Apofizit
- Myozitis Ossifikans
- Kompartman sendromu
Avülsiyon Fraktüründe Tanı Yöntemleri
Acil servislerde avülsiyon fraktürü şüphesi olan hastaların yönetimi büyük bir titizlikle gerçekleştirilmelidir. Ayrıntılı anamnez ve travma mekanizmasının sorgulanması mutlaka yapılıp uygun görüntüleme ile tanı doğrulanmalıdır7. Hastaların nörovasküler muayenesi mutlaka gerçekleştirilmeli ve yazılı hale getirilmelidir.
Anamnez
Travmanın şekli, mekanizması, spora veya ani harekete bağlı gelişim öyküsü mutlaka öğrenilmelidir.
Fizik Muayene
- Lokal hassasiyet ve palpasyonda kemik çıkıntı hissi
- Aktif kas kontraksiyonunda ağrı
- Pasif germe ile şiddetli ağrı
Görüntüleme
- Direkt grafi: İlk tercih. Avülsiyon hattı, kemik parçasının yer değiştirmesi görülebilir.
- BT: Karmaşık eklem içi avülsiyonları değerlendirmede faydalıdır.
- MRG: Küçük parçaların saptanması, tendon/bağ yırtıklarının değerlendirilmesi için gerekebilmektedir8.

Basit kas zorlanması (strain) tanısıyla eve gönderilen sporcularda radyografi çekilmemesi en sık yapılan hatadır. Biz acil hekimleri bu konuya oldukça dikkat etmeli ayrıntılı bir fizik muayene sonrası risk faktörü olan grupta avülsiyon fraktürü her zaman aklımızın bir köşesinde olmalıdır.
Acil Serviste İlk Müdahale
Acil serviste avülsiyon fraktürü saptanan hastalarda ilk müdahale olarak geleneksel yumuşak doku travmalarında kullandığımız tedavi modalitesi uygulanmalıdır. Bu modalitede PRICE protokolü gerçekleştirilmekte olup bunlar; immobilizasyon, ağrı kontrolü (NSAID’ler), soğuk uygulama ve elevasyondan oluşmaktadır. Bu tedavi genellikle non deplase veya minimal yer değiştirmiş fraktürlerde uygun tedavi biçimidir. Ancak fraktür yer değiştirmesi >2 cm, büyük fraktürler, eklem içi kırık ve instabilite, konservatif tedaviye rağmen iyileşmeyen olgular ve fonksiyon kaybı gelişen olgularda cerrahi tedavi ön plana çıkmakta olup ortopedi konsültasyonu gerekmektedir3.
Spora Dönüş
Avülsiyon fraktürü nedeniyle tedavi alan sporcularda spora dönüş süresi önemli bir konudur. Literatürde yer alan bilgiler ışığında genel olarak konservatif tedavi uygulanan sporcularda 10–17 haftada belirli bir süre yük kısıtlaması sonrası aşamalı olarak spora dönüş sağlanabilmektedir. Cerrahi tedavi geçiren sporcularda ise 9-16 haftada spora geri dönüş sağlanabilmektedir. Ancak tüm bu süreler fraktürün ciddiyeti, fraktürün gerçekleştiği anatomik bölge, erken tanı ve rehabilitasyona yanıt düzeyine göre bireysel olarak değişebilmektedir9.
Komplikasyonlar
Avülsiyon fraktüründe geç tanı, yanlış tanı ve geç tedavi sonrasında komplikasyonlar görülebilmektedir2. Bunlar aşağıdaki gibidir:
- Yanlış tanı ve kronik ağrı
- Kas zayıflığı
- Erken dönemde spora dönüş ve tekrarlayan yaralanma
- Malunion veya nonunion
- Eklem instabilitesi
- Artroz gelişimi
- Uzun dönemde sporcularda performans düşüklüğü
Son Söz
Avülsiyon kırıkları, acil serviste “önemsiz spor yaralanması” diye göz ardı edilmemesi gereken lezyonlardır. Basit bir direkt grafi, hem doğru tanı koymayı sağlar hem de sporcu kariyerini kurtarır. Özellikle genç sporcularda, kas zorlanması tanısı koyarken bir kez daha düşünmek gerekir. Doğru tanı ve yönetim için acil hekimlerinin farkındalığı şarttır. Erken tanı ve doğru tedavi güvenli spora dönüş için altın değerinde önem taşımaktadır. Acil hekimleri için en önemli basamaklar; anamnez, fizik muayene, uygun görüntüleme ve zamanında yönlendirmedir. Avülsiyon fraktürleri sporcularda kariyer bitiren bir travma olmasa da yanlış yönetilirse uzun vadeli performans düşüşlerine neden olabilmektedir.
Kaynaklar
- 1.Schiller J, DeFroda S, Blood T. Lower Extremity Avulsion Fractures in the Pediatric and Adolescent Athlete. J Am Acad Orthop Surg. 2017;25(4):251-259. doi:10.5435/JAAOS-D-15-00328
- 2.Calderazzi F, Nosenzo A, Galavotti C, Menozzi M, Pogliacomi F, Ceccarelli F. Apophyseal avulsion fractures of the pelvis. A review. Acta Biomed. 2018;89(4):470-476. doi:10.23750/abm.v89i4.7632
- 3.McCoy J, Nelson R. statpearls. Published online August 7, 2023. http://www.ncbi.nlm.nih.gov/books/NBK559168/
- 4.McKinney B, Nelson C, Carrion W. Apophyseal avulsion fractures of the hip and pelvis. Orthopedics. 2009;32(1):42. doi:10.3928/01477447-20090101-12
- 5.Anduaga I, Seijas R, Pérez-Bellmunt A, Casasayas O, Alvarez P. Anterior Iliac Spine Avulsion Fracture Treatment Options in Young Athletes. J Invest Surg. 2020;33(2):159-163. doi:10.1080/08941939.2018.1483447
- 6.Yeager K, Silva S, Richter D. Pelvic Avulsion Injuries in the Adolescent Athlete. Clin Sports Med. 2021;40(2):375-384. doi:10.1016/j.csm.2020.12.002
- 7.Kim S, Ahn J, Kim H, Kim J. Is magnetic resonance imaging necessary in isolated greater trochanter fracture? A systemic review and pooled analysis. BMC Musculoskelet Disord. 2015;16:395. doi:10.1186/s12891-015-0857-y
- 8.Gottsegen C, Eyer B, White E, Learch T, Forrester D. Avulsion fractures of the knee: imaging findings and clinical significance. Radiographics. 2008;28(6):1755-1770. doi:10.1148/rg.286085503
- 9.Eberbach H, Hohloch L, Feucht M, Konstantinidis L, Südkamp N, Zwingmann J. Operative versus conservative treatment of apophyseal avulsion fractures of the pelvis in the adolescents: a systematical review with meta-analysis of clinical outcome and return to sports. BMC Musculoskelet Disord. 2017;18(1):162. doi:10.1186/s12891-017-1527-z
