Bir Bakışta Ultrason: Karın ağrısı
14 yaşında kız-çoçuk hasta, karın ağrısı ile acil servise başvuruyor. Çocuk olması nedeni ile öykü tam alınamıyor ama muayenede yaygın karın hassasiyeti olduğu görülüyor ve sağ kadranlarda daha belirgin hissediliyor. Hemen yanı başınızdaki ultrason ile bakmaya karar veriyorsunuz ve tanıyı koyuyorsunuz.
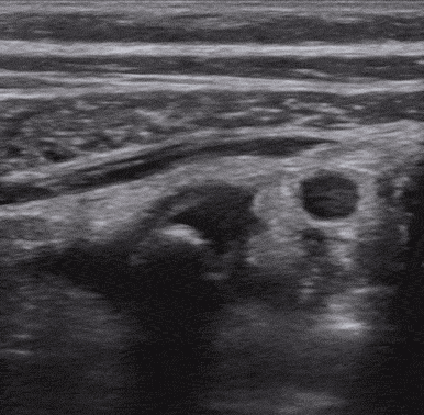
Ultrason görüntünüz..
Tanınız (görmek için tıklayın)
Akut apandisit
Sonraki basamak nedir?
Cerrahi konsültasyon
Yorum
Akut apandisit en sık görülen cerrahi acillerdendir. Pediatrik ve gebe hastalar ise radyasyon maruziyetinden en çok korkulan ve korunması gereken hasta grubudur. Bu yüzden bu konu ile ilgili fazlaca çalışma bulunmaktadır ve şüpheniz yüksek ise cerrahi konsültasyonu bu hasta grubunda öncelik verilecek yoldur. Acil servis hekimlerince, yapılan bir çalışmada, US ile bu tanı sensitivite %65 ve spesifite %90 oranındadir. Geniş çaplı pediatrik bir çalışmada ise ağrı süresinin artması ile sensitivitenin de arttığı gösterilmiştir.
Görüntüleme için en sık lineer prob, hasta obez ise konvex prob kullanılır. Görüntüleme hastanın ağrısının en çok olduğu yerden başlanır. Prob imleci hastanın sağını gösterecek şekilde kademeli kompresyon uygulanarak transvers planda daha sonrasında ise longitudinal görüntü alınır. En sık kullanılan pencere, transvers görüntüde; iliak damarlar ve ileum sağda, psoas kasının aşağıda ve görüntülenebilirse çekumun ekranın solunda olduğu penceredir.
Diğer bir yol ise; sağ üst kadrandan başlanarak çıkan kolon aşağıya doğru taranır ve çekum saptanır devamında ise apendiks loju taranır.
Akut apandisit US bulguları;
- Halka yüzük görünümü,
- Dilate >6 mm,
- Komprese olmayan,
- Non peristaltik,
- Kör sonlanan tübüler yapı,
- Ek bulgular ise; periapendiküler serbest sıvı, apendikolit, dopplerde artmış vaskülarite
* Benim ilk apandisit görüntülemem 20 dakika sürmüştü, umarım bu bilgilerden sonra sizinki daha hızlı olacaktır..
Kaynaklar
- Quigley, A.J. and S. Stafrace, Ultrasound assessment of acute appendicitis in paediatric patients: methodology and pictorial overview of findings seen. Insights Imaging, 2013. 4(6): p. 741-51.
- Fox, J.C., et al., Prospective evaluation of emergency physician performed bedside ultrasound to detect acute appendicitis. Eur J Emerg Med, 2008. 15(2): p. 80-5.
- Bachur, R.G., et al., The effect of abdominal pain duration on the accuracy of diagnostic imaging for pediatric appendicitis. Ann Emerg Med, 2012. 60(5): p. 582-590.e3.
- Polites, S.F., et al., A simple algorithm reduces computed tomography use in the diagnosis of appendicitis in children. Surgery, 2014. 156(2): p. 448-54.
- Dawson, Mallin. Introduction to Bedside Ultrasound, Volumes 2. 2013 (inkling)

2 Responses
Yine güzel bir vaka olmuş, elinize sağlık !
Tesekkurler Sonay Ezgi, ben de merakla bekliyoruk yazini!